|
|
||||
![]() |
||||
|
|
||||
|
Son yıllarda, hücre tedavisi veya hücre tabanlı tedavi pek çok hastalığın tedavisinde bir strateji olarak ortaya çıktı. Hücre tabanlı tedavinin amacı, hasar gören bir dokunun vaya organın biyolojik işlevini yerine koymak, tamir etmek veya genişletmektir. Bir hedef organa, o organın işlevlerini eski haline getirmeye yetecek kadar sayıda ve kalitede izole edilmiş ve özellikleri belirlenmiş olan hücrelerin nakledilmesiyle, bu amaca ulaşılabilir. Örneğin, Parkinson hastası bir insanın beynindeki dopamin üreten sinir hücreleri hasarlanmıştır. Bu nedenle, ünlü boksör M.Ali de olduğu gibi titremeler ile karekterize hastalık belirtileriyle yaşanır. İşte, bu hücreleri bir şekilde sağlamlarıyla yer değiştirilebilirse bu hastalığın tamamen iyileşeceği fikri oldukça kabul görmüştür. Ancak, bu sağlam hücreler nereden bulunacaktır?
İşte, günümüzde yazılı ve görsel basın yayın organlarında adından sıkça bahsedilen "kök hücreler" bu tür hastalıkların tedavisi için ümit ışığı olarak görünüyor.
Normalde kendileri çoğalamayan kas veya sinir hücrelerinden farklı olarak, kök hücreleri çok sayıda bölünebilir ve çoğalabilirler. Ya da sınırlı sayıda çoğalabilen karaciğer ve böbrek hücrelerine oranla, kök hücreler laboratuvar şartlarında aylar boyunca çoğalabilirler. Bir tek kök hücreden milyonlarca hücre ortaya çıkabilir. Bir kök hücresi, bir kalp kasında olduğu gibi kanı vücuda pompalamak için çalışamaz, kırmızı kan hücreleri gibi oksijeni dokulara taşıyamaz veya sinir hücreleri gibi doku
BlLİM ve TEKNlK 62 Mart 2004
|
ve organlara gerekli olan elektrokimya-sal sinyalleri iletemez; fakat, kalp kası hücreleri, kan hücreleri veya sinir hücreleri gibi özelleşmiş hücrelere kaynaklık edebilirler.
Kök hücre kaynağı olarak pekçok farklı seçenek var. Örneğin, embriyonik yaşamın ilk günlerinde embriyondan ayrıştırılan bir grup hücre, potansiyel olarak en güçlü kök hücreler olarak görünüyor. "Embriyonik kök hücreler" olarak isimlendirilen bu hücreler tüp bebek laboratuvarlarında yapay döllenme yoluyla elde edilmiş embriyonlardan izole ediliyorlar. Teorik olarak, sınırsız sayıda çoğalabilen ve uygun şartlarda istenilen hücre tipine dönüştürülebilen embriyonik kök hücrelerden elde edilecek yeni hücre/doku yada organlar birçok hastalığın kökten tedavisinde kolaylıkla kullanılabilirler. Ancak, etik tartışmalar nedeniyle bu tip kök hücrelerin bu amaçla kullanılmasında önemli zorluklar mevcut.
Fakat, araştırmacılar pek çok hastalığın kök hücre tedavisiyle iyileştirilebi-
|
leceğine yönelik beklentileri karşılamak amacıyla gerçekleştirdikleri çalışmalarda hiç te yabancısı olmadığımız bir kaynağı tespit ettiler. Bu kaynak 1960'lı yıllardan beri bildiğimiz kemik iliğidir. Kemik iliği kök hücre nakilleri, başta lösemiler (kan kanserleri) olmak üzere çeşitli hastalık durumlarında kan sistemini tekrar elde etmek amacıyla ile yapıldı. Bu gün ise, lösemiler dışında organ (meme, testis ve akciğer vb) tümörlerinde, kalıtsal hastalıklarda ve bazı edinsel kan hastalıklarının tedavisinde kullanılmaktadır.
Dünyanın gelişmiş hematoloji merkezlerinde olduğu gibi ülkemizde de kemik iliği nakli başarıyla yapılmaktadır. Löseminin cinsine ve vericinin uygunluğuna göre değişmekle birlikte sonuçlar olumludur. %43 ile %83 arasında başarı elde edilmektedir.
Kan sistemin yeniden kurulmasına ilişkin olarak kemik iliği kök hücrelerinin klinikte kullanıma girmesinden sonra geçtiğimiz 10-20 yıl süresince, nakil için kök hücrelerin toplanmasın-
|
||
![]() |
||||
|
|
||||
|
|
||||
|
da ve temininde bazı ilerlemeler sağlanmıştır. Özellikle, aferez (hücre ayrıştırma) tekniklerinde oluşan gelişmeler ve kan büyüme faktörlerinin mobilizasyon tekniklerine girmesiyle periferal kandaki kök hücrelerinin oranını arttırmak ve yeterli sayıda kök hücre toplamak mümkün olmuştur. Dolayısıyla, klinik nakilde kullanılan insan kan kök hücrelerinin birincil kaynaklan arasına periferal kan kök hücreleri (PKKH) de girmiştir. İlk başarılı PKKH nakli 1985'te kronik miyeloit lösemili bir hastada yapılmıştır ve başarılı olduğu görüldükten sonra, PKKH'lerinin kullanıldığı nakillerde büyük bir artış olmuştur. Özellikle, otolog (hastanın kendi kök hücrelerinin kullanıldığı) kemik iliği naklinin yerine kullanılır duruma gelmiştir. Özellikle, lenfomalarda, bazı solit tümörlerde (meme kanseri gibi), multipl miyelomda ve lösemilerde önemli bir tedavi silahı olmuştur. Düşük tümör hücre kontaminasyon riski, genel anestezi riskinin olmaması, invaziv bir işlemi gerektirmemesi, poliklinik şartlarında yapılabilmesi, hızlı engrafman (yerleşim), morbiditenin daha düşük olması, yineleyen ototransplantasyonların mümkün olması, hastane yatış süresinin az olması, daha ucuz ve konforlu olması, gibi özellikler bu yöntemi avantajlı kılmaktadır.
Son yıllarda, kan kök hücre kaynağı olarak göbek kordonundan elde edilen kan da kullanılmaktadır. 1980'li yılların başlarında bilim adamlarının yenidoğan bebeklerin kordon kanında da kemik iliğindekine benzer kök hücrelerinin bulunduğunu farketmeleri ile birlikte kordon kanından elde edilen bu hücrelerin belirli hastalıkların tedavisinde kullanılabileceği fikri ortya çıktı. Göbek
|
![]() |
![]() |
||
|
Kemik iliği kök hücrelerinin farklılaşma ürünleri.
kordonu kanının, zengin bir kaynak olduğunun anlaşılması üzere 1988'den beri tedavi amaçlı kullanılmaya başlandı. 1988 yılında Fankoni aplastik anemi hastalığı bulunan bir çocuk ilk kez kordon kanı ile tedavi edildi.
Elde edilen kordon kanının belirli koşullar altında toplanıp dondurularak saklanabileceği ve daha sonra gerek duyulduğunda çözülerek kullanılabileceğini fark eden Dr. David Harris 1992 yılında oğlunun kordon kanını kendi la-boratuvarında dondurarak sakladı. Daha sonra bu uygulamayı halka açması
|
Ne kadar fazla kan toplanabilirse, o kadar fazla kök hücre toplanmış demektir. Bununla birlikte, yaklaşık 30-60ml. kordon kanı alınması yeterli olmaktadır.
Önceleri, özellikle hematopoietik kök hücre nakli sağlanacak bir akrabanın bulunmaması durumunda, vücutları daha az sayıda kök hücresine ihtiyaç duyan çocuklar için uygun bir seçenek olarak görünüyordu. Ancak, İngiltere'nin Newcastle kentindeki Royal Victoria Hastanesi'nden Prof. Stephen Proctor ve arkadaşları 31 yaşındaki bir lösemi hastasına 7 bebeğin kordon kanı kök hücrelerini nakletti. Sonuçta, ilk kez yetişkin bir hastada göbek kordonu kök hücreleri kullanıldı ve olumlu sonuç alındı. Burada, l bebeğin doku uygunluk antijenleri hastanınkiyle uyumlu iken diğer 6 bebeğinki uyumlu değildi. Nakil yapılan hasta, bu 6 bebeğin kök hücrelerini reddetmedi. Bunlarda uygun olan o tek kandaki kök hücreleri çoğaltıcı bir etki yaptılar ve hastanın iyileşmesi hızlandı.
Kordon kanı bankalarında kanlar iki amaç için saklanmaktadır;
Bunlardan ilki ve en önemli amaç bebeğin ileride kemik iliği nakli gerektirecek bir hastalığa yakalanması durumunda kendisine ait sağlıklı kök hücreleri kullanılarak tedavi edilebilmesi ve bu sayede uygun kemik iliği vericisi aranması gerekliliğinin ortadan kalkmasıdır. Kişinin kendi hücre ve dokuları ile uyum sorunu olmayacağından bu oldukça önemli bir avantajdır. Gerçi bu uygulamanın da riski bulunmaktadır. Bu tür uygulamalarda hastalığın yeniden tekrar etme riski bulunmaktadır. Bu şekilde dondurularak saklanan kordon kanı kök hücreleri, başta kanser olmak üzere çeşitli genetik hastalık riski taşıyan aileler için de büyük önem taşımaktadır. Çünkü, bu hücreler gelecekte dokusu uyan kardeşinin bazı hastalıklarında da tedavi amaçlı kullanılabiliyor. Ülkemizde de uygulanmaya başla-
|
|||
![]() |
||||
|
Kan kök hücrelerin tedavi amacıyla kullanılması.
ile 1994 yılında dünyadaki ilk göbek kordonu kanı bankası ABD'de kurulmuş oldu. Takip eden yıllar içinde dünya üzerinde pek çok göbek kordonu kanı bankası kuruldu.
Kordon kanı kök hücrelerine ilişkin yapılan çalışmalar, bu hücrelerin kemik iliği kök hücrelerinden 10 kat kuvvetli olduğunu ortaya koydu. Yakın zamanda Seattle Üniversitesi Fred Hutchin-son Kanser Merkezinden Irwin Berns-tein ve ekibi, göbek kordonundan aldıkları kök hücreleri laboratuvar şartlarında 100 misline çıkardıklarını bildirdiler.
Kordon kanı doğumdan hemen sonra toplanır, kök hücreler ayrıştırılır ve -196 derecede sıvı nitrojende uygun teknikler kullanılarak dondurulur. Dondurulan hücreler daha sonra gerek duyulduğunda çözülerek tedavide kullanılır.
|
||||
![]() |
||||
|
|
||||
|
Mart 2004 63 BlLlM ve TEKNİK
|
||||
|
|
||||
|
|
||||
![]() |
![]() |
otopsi sonucunda, kalbinde ve beyninde nakledilen kök hücrelerden kaynaklanan hücreler saptandı. Bu hücrelerin kız kardeşinden gelen kök hücrelerden geldiği ise şöyle anlaşılıyor, normalde erkeklerin hücreleri XY genetik yapısındadır, oysa bu hücreler XX genetik (dişi) yapısındaydı. Yapılan daha ileri incelemelerde, kalpteki bu hücrelerin kalp kası, beyindekilerin ise sinir hücresi yapı ve işlevinde oldukları tespit edilmiş. Normalde bu kök hücreler sağlıklı insanlara nakledildiklerinde bu şekilde farklılaşmazlar, ancak hasarlı doku yada organlara göç ederek oralarda fonksiyonel hücrelere farklılaşırlar. Bu olguda da, kök hücre nakli yapılan çocuğun hastalığı beyin ve kalbini etkilemektedir. Bu nedenle, bu kök hücreler oradaki hasarlı hücreleri yenilemek amacıyla farklılaşmışlardır.
Aslında bilim dünyası, kemik iliği-mizdeki kan yapıcı kök hücrelerin birçok vücut hücresini canlıda oluşturabil-dikleri bilgisini de benzer şekilde genetik yapısı uyumsuz bireyler (erkekten dişiye yada dişiden erkeğe) arasında yapılan kemik iliği nakilleri sonrasında öğrendi. Sonuçta, bu yeni çalışmalar kök hücre araştırmalarına büyük ivme kazandıracak. Çünkü, hücre tabanlı tedaviler için en büyük potansiyeli oluşturan embriyonik kök hücreler üzerinde etik tartışmalar devam ederken, oldukça yüksek potansiyele sahip kordon kanı kök hücrelerinin bu özelliği sayesinde bir alternatif kaynak bulunmuş olmaktadır. Şimdiye kadar, özellikle kan sistemini yerine koymak amacıyla nakil tedavilerinde kullanılan ve gelecekte aileler için bir sigorta gibi düşünülerek, dondurulup saklanan göbek kordonu kök hücrelerin, gelecekte başta tip I diyabet olmak üzere Parkinson, Alzheimer gibi daha bir çok hastalığın tedavisi için bir ümit olabilir.
Prof.Dr. Erdal Karaöz Kocaeli Üniversitesi
|
||
|
Göbek kordonu kök hücrelerinin ışık mikroskopik görüntüsü.
kordon kanı kök hücreleri kullanılmaktaydı. Bu hücrelerin kemik iliğinden elde edilen kök hücreler gibi vücudumuzun diğer hücrelerini (kas, sinir ve kemik hücreleri gibi) de yapabileceği teorik olarak biliniyordu. Hatta, laboratu-var koşullarında kordon kanı kök hücrelerinin bu tip hücrelere dönüşebildiği bildirilmişti. Ancak, 12-17 Şubat 2004 tarihleri arasında Orlando da gerçekleştirilen Uluslar arası Kemik İliği Transplantasyon Araştırma Birliği toplantısında, Duke Üniversitesinden bir grup bilim adamı bu hücrelerin insan vücudunda kalp kası ve sinir hücrelerine farklılaştıklarını bildirdiler. Yakın geçmişte ABD'de çok nadir görülen bir me-tabolik hastalık (kalbi ve beyini etkileyen) nedeniyle yeni doğan kız kardeşinin göbek kordonu kök hücreleri nakledilen 4 yaşındaki bir erkek çocuğun bir süre sonra enfeksiyon nedeniyle öldü. Daha sonra, bu çocukta yapılan
|
||||
|
nan bu yöntemle başarılı sonuçlar bildirilmeye başlandı. 6 yaşındaki lösemi hastası bir çocuğa kardeşinin göbek kordonu kök hücreleri nakledildikten sonra başarı sağlandı.
Kordon kanı bankacılığında ikinci temel amaç ise, saklanan kanın sahibi izin verdiği taktirde bu hastaların tedavilerinde kullanılmasıdır.
Kordon kanı bankacılığının önemi İngiltere'de yakın zamanda ortaya çıktı. Dublin'de immün yetmezlik sorunu ile doğan bir çocuğa, teşhisten 10 gün sonra 6/6 uyumlu kordon kanı transp-lante edildi, 4 hafta sonra taburcu edildi, 6 ay sonra bebek hematolojik ve immünolojik olarak normaldi.
Önceki çalışmalarda kordon kanı kök hücrelerinin dondurulma işleminden sonra 3 ile 5 yıl süreyle saklanabileceği öneriliyordu. Ancak, Proceedings of the National Acedemy of Sci-ences'de yayımlanan bir araştırmaya göre, bu hücreler 15 yıl sonra bile canlılığını koruyabilmektedir.
Bugün dünyada birçok aile yeni doğan çocuklarının kordon kanlarını, çocukları ve kendilerinin gelecekteki birçok olası hastalığına karşı adeta bir sigorta olabilir anlayışıyla dondurtmakta-dır. Başta ABD olmak üzere Avrupa'da-ki merkezlerde göbek kordon kanı bankacılığı yapılmaktadır. Kordon kanı saklanması, nispeten yüksek maliyetli bir uygulamadır. Örneğin, ABD'deki kordon kanı bankasında dondurma işlemi ve ilk birkaç yıllık saklama için 1500-2000$, daha sonraki her yıl için 90-100$ ödenmektedir. Özellikle ABD'deki sağlık alanındaki birçok çok uluslu şirket kordon kanı bankacılığı işine girmiş ya da girmektedir. Dolayısıyla, şirketler arasında sıkı bir rekabet yaşanmaya başladı. Ülkemizde de son zamanlarda bazı özel ve üniversite hastaneleri bünyesinde benzer merkezler kuruldu ve hizmet vermeye başladılar.
Bugüne kadar başta talesemi, lösemi gibi bazı kan hastalıkları olmak üzere 45'in üzerinde hastalığın tedavisinde
|
||||
![]() |
||||
![]() |
||||
|
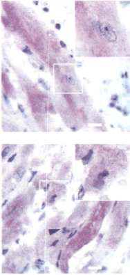
Erkekten kemik iliği nakli yapılmış dişinin kalbinde Y kromozomu pozitif kalp kası hücreleri izleniyor (oklar).
|
||||
|
|
||||
|
BİLİM ve TEKNIK 64 Mart 2004
|
||||
|
|
||||