Mikroprotalyum


Mikroprotalyum

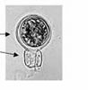
 Erkek organ portalleri.Anteridyumları oluşturan protal.