Korpus kallozum


Korpus kallozum

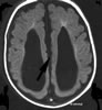
Beyin iplik demeti,beyin köprüsü. Memeli hayvanlarda iki beyin yarı küresini birleştiren büyük komissür fibril demetidir.
Örneğin anemeligin sonucunda şizofren hastalığı olduğu belirtiliyor.