Germinal Yapi


Germinal Yapi

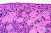
Hücreden ve damardan zengin jelatinimsi bir yapı (supendimal germinal matriks)dır.