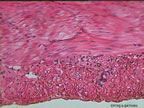
Stomach paries (Mide Duvarından Kesit)


Stomach paries
(Mide Duvarından Kesit)

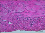
Stomach paries
(Mide Duvarından Kesit)

Stomach paries
(Mide Duvarından Kesit)

Stomach paries
(Mide Duvarından Kesit)

Mide duvarından alınmış bir kesittir.
örnek: insanın mide duvarından alınan kesitdir.