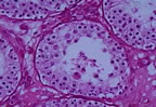
Spermatosit

Spermatosit

Spermatosit


Spermatidlerden bir önceki gelişim döneminde bulunan üreme hücreleridir.