![]() |
||||||||||||||||
![]() |
||||||||||||||||
|
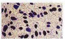
EK hücre kolonileri giemsa ile boyandığında farklılaşmamış koloniler koyu boyanırken, farklılaşan
koloniler daha açık tonlarda boyandılar.
Farklılaşmamış kolonilerin sınırları, çizgiyle çizilmiş
gibi belirgin ve net olduğu halde, farklılaşmaya
başlayan kolonilerin sınırları dağılan hücrelerden
dolayı belli belirsiz bir görünüme sahipti.
hedeflemekte. Besiyerine uygulanan büyüme faktörü kombinasyonlarının, miktarlarının ve zamanlamasının hesaplanması, hücrelerarası maddenin yerini alabilecek polimerik malzemeler ve üç boyutta doku gelişimini destekleyecek biyomateryal-ler ve matematiksel modellerin geliştirilmesi bu alanın sorumluluğunda. Amaç, tümüyle yapay bir ortamda hücrelere istenileni yaptırabilmek.
TÜBİTAK CMBAE Transgen ve Deney Hayvanları Laboratuavrında 2004 yılında bir kök hücre biyomühendisliği çalışması gerçekleştirildi. Kültür ortamındaki hayvansal ürünler olabildiğince uzaklaştırılarak, besleyici tabakaların yerini alabilecek, olabildiğince sentetik bir kültür sistemi geliştirilmeye çalışıldı. Besleyici tabakalar yerine Üç boyutlu fibröz bîr matris; serum yerine 'serum replacement' denilen sentetik bir çözelti kullanıldı.
Öncelikle hücreler besleyici tabakaların üzerinde altı farklı besiyerinde kültüre edildi. Popu-lasyon katlanma sayıları ve farklılaşmamış kolonilerin oranına göre en iyi besiyeri tanımlandı. Kullanılan çözeltilerin hücrelerin çoğalmaları üzerine bir etkisi olmadığı, ancak Serum Replacement (SR) uygulanan deney gruplarında kolonilerin daha az oranda farklılaşmış fenotip gösterdiği tespit edildi. Böylelikle deneyin ilk aşamasında hücrelere uygun bir kimyasal çevre hazırlanmış oldu.
Deneyin ikinci aşamasında hücrelerin kültüre olduğu fiziksel çevre değiştirildi. Besleyici tabakaların üzerinden alınan EK hücreleri üç boyutlu fibröz bir matris olan dokunmamış poliester fabrik-lerinin (NWPF) üzerine aktarıldılar. NWPF diskle-
|
||||||||||||||||
|
EMBRIYONIK
KÖK HÜCRELER
|
||||||||||||||||
|
Hücrelerin daha sağlıklı ve farklılaşmadan çoğalmalarını sağlasa da hastalık tedavisinde kullanılacak insan EK hücrelerinin, hayvan hücrelerinin üzerinde kültüre edilmesi riskli. Fare hücrele-rindeki retroviruslar EK hücrelerin genomlarında mutasyonlara yol açabilirler. Bunun önüne geçmek için değişik tipte insan hücreleri besleyici tabaka olarak denenmiş durumda. Örneğin, 2003 yılında İsrail'de yapılan bir çalışmada, insan EK hücreleri yeni doğan bebeklerin sünnet edilmiş dokularından elde edilen hücrelerin üzerinde uzun dönem kültüre edilebilmiş.
Hücre kültüründe EK hücreleri kontrol etmenin yolu, tanımlanmış bir mikroçevreden geçiyor. Besiyeri bileşenleri, kültür kabı yüzeyleri, hücrelerin birbirleriyle komşulukları, bir hücrenin mikro-çevresini belirleyen koşulları oluşturuyor. Son yıllarda hızla gelişen bir dal olan kök hücre biyomü-hendisliği, kök hücrelerin istenilen yönde farklıla-şıp çoğalmaları için mikroçevreler yapılandırmayı
|
||||||||||||||||
|
Embriyonik kök (EK) hücreler hasar görmüş dokuların yenilenmesi için eşsiz birer hücre kaynağıdır. Klinikte hasarlı dokuların yenilenmesi için aynı düzeyde farklılaşmış çok sayıda hücreye gereksinim duyulur. Teorik olarak EK hücreler sınırsızca bölünebildikleri için İstenilen sayıda hücreyi; vücuttaki hemen her çeşit hücreye dönüşebildikleri için de ihtiyaç duyulan tipte farklılaşmış hücre tiplerini oluşturabilirler. Ancak uygulamada durum farklıdır. Bu hücrelerin, kendileri gibi kök hücreler oluşturarak çoğalmalarını yani 'yenilen-me'lerini sağlamak zordur; çünkü EK hücre doğası gereği başka hücrelere farklılaşmak ister. Farklılaşmanın önüne geçebilmek için EK hücreler fare embriyolarından yalıtılan fibroblastlar üzerinde kültür ortamına sokulurlar, Fare embriyonik fib-roblastları, saldıkları birtakım faktörlerle EK hücreleri desteklerler. EK hücrelerin altında, kültür kaplarının yüzeyini tamamen kaplamış bu tek tabakalı hücre grubuna besleyici tabaka da denir.
|
||||||||||||||||
![]() |
||||||||||||||||
|
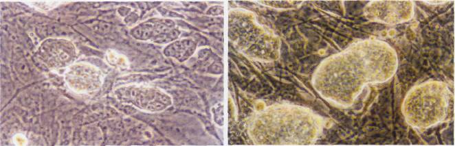
EK hücre kolonilerinin faz-kontrast mikroskoptaki görüntüleri. Farklılaşmamış hücrelerin birbirleriyle etkileşimi daha kuvvetlidir. Bu hücrelerin meydana getirdiği kolonilerin sınırları, çizgiyle çizilmişçesine belirgin olur ve faz kontrast filtrede parlak gözükürler. Yapılan çalışmada besleyici tabakaların üzerinde kültüre edilen koloniler besiyeri birleşenlerine göre farklı morfolojiler gösterdiler. SR içeren besiyerlerindeki koloniler daha belirgin sınırlara sahip, daha yuvarlak ve pürüzlü yüzeyler gösterirken, serumla kültüre edilen besiyerlerindeki koloniler daha basık ve pürüzsüz bir görünüme sahipti.
|
||||||||||||||||
|
BİLİM ve TEKNİK 58 Ağustos 2005
|
||||||||||||||||
![]() |
|||||||||||||||||||||||||||||
|
EK hücre kolonilerinin alkalin fosfataz aktiviteleri ( x 200). Farklılaşmamış EK hücreleri daha yüksek alkalin iosfataz aktivitesi göstererek daha koyu tonlarda boyandı-lar. Farklılaşan ve koloni yapılarını kaybedenler ise daha açık tonlarda boyanarak daha düşük alkalin fosfataz etkinliği gösterdiler.
|
|||||||||||||||||||||||||||||
|
ri Hacettepe Üniversitesi Biyomühendislik Bölü-mü'nden Prof. Dr. Menemşe Gümüşderelioğlu ve ekibi tarafından hazırlandı. Bu matrisin malzemesi ameliyat İpliklerinde ve damar greftlerinde de kullanılan bir biyomateryaldi. En büyük avantajı geniş yüzey ve alan hacmine sahip olmasıydı. Böylelikle besleyici tabakalarla sadece petri yüzey alanında kültüre olan hücreler, NWPF diskleri kullanıldığında aynı büyüklükteki petrinin içinde çok daha geniş bir alanda kültüre oldular.
|
Fare EK hücreleri LIF (Lösemi Önleyici Faktör) kullanıldığında farklılaşmadan çoğalırlar. LIF insan EK hücreleri üzerinde bir etki göstermezken, bazı fare EK hücre hatlarında besleyici tabakanın yerini alabilecek kadar güçlü bir etkiye sahiptir. Bu çalışmada model olarak fare EK hücre hattı R1 kullanıldı. Kullanılan matrislerin yüzeyine LIF sabit-lendi. Böylelikle hücrelerin daha geniş alanda daha fazla farklılaşmayı önleyici faktörle daha uzun süre kültüre edilmesi sağlandı. UF'in yüzeye sabit-
|
||||||||||||||||||||||||||||
|
lenmiş formu hücrelerle daha uzun süre etkileşe-ceği için etkinliğinin artacağı düşünüldü.
İlk denemeler çok heyecanlıydı. Hücrelerin böyle fibröz bir yapıda nasıl kolonize olacaklarını merak ediyorduk. İlk 48 saat içinde hücreleri fiberler (lifler) arasında gözlemek kolay olmadı. İlerleyen günlerde matris üzerinde fiberlerin arasını kaplamış çok büyük hücre agregatları (toplulukları) gözlendi. Bu agregatları gözlemleyebilmek için kültürasyon en geç 4. günün sonunda durduruldu. Hücrelerin farklılaşmaya mı başladıklarım yoksa kendilerini mi yeniledikleri merak ediliyordu. Önce giemsa boyasıyla koloni morfolojilerini incelendi, sonra SSEA-1'e karşı bağışıklık tepkisi ve alkalin fosfataz aktivitesine bakıldı. Son olarak da kolonilerin elektron mikroskobu görüntülerini alındı. Bazı koloniler tripsinle matristen ayrıldı, besleyici hücre tabakalarının üzerine ekildi ve hücrelerin eski ortamlarında nasıl davrandıkları izlendi. Polimerik matris deneyleri iki koldan yürütüldü'. UF sabitlenmiş yüzeylere sahip NWPF disklerle, hidrolize edilmiş yüzeylere sahip NWPF diskleri üzerinde EK hücrelerin gelişimi ayrı ayrı izlendi.
Sonuçlar, LIF sabitlenmiş yüzeylerde EK hücrelerin daha az farklılaştığını gösterdi. Hidrolize yüzeylerde kültüre edilen hücrelerin besiyerine LIF eklenmesi, farklılaşmaların önüne geçemedi. Çalışmanın en umut verici yanı fiber yüzeyindeki, immobilize (hareketsiz) formdaki LIF'in çalışma-siydi. Bu, kök hücre biyomühendisliği çalışmaları için yeni bir fikirdi. Bu çok pahalı faktörü besiyerine sürekli dışarıdan eklemek yerine, matris yüzeyine sabitlemenin EK hücre yenilenmesi için hem etkili hem de ekonomik bir yol olabileceği gösterilmiş oldu.
Bu çalışma, ülkemizde embriyonik kök hücrelerin farklı kültür koşullarında ve polimerik yapılar üzerinde kültürü ile yapılan ilk çalışma olduğu için önemliydi. Elde edilen sonuçlar, embriyonik kök hücrelerin farklılaştırmadan kültüre edilebilmeleri için, daha iyi tanımlanmış ortamların geliştirilebilmesine yönelik bundan sonraki çalışmalara ışık tutacak.
Gaye Çetinkaya
Doç. Dr. Sezen Arat
TUBITAK-GMBAE Transgen ve
Deney Hayvanları Laboratuvarı
|
|||||||||||||||||||||||||||||
![]() |
|||||||||||||||||||||||||||||
|
EK hücreler fiberler arasında büyük hücre agregatları ( x40). Büyük hücre toplulukları, LİF sabitlenmiş yüzeylerde yüksek alkalin fosfataz etkinliği gösterdiler.
|
|||||||||||||||||||||||||||||
|
EK hücre kolonisinin PET fiberleri arasındaki görüntüsü (x 400).
|
|||||||||||||||||||||||||||||
![]() |
|||||||||||||||||||||||||||||
|
PET fiberler arasındaki EK hücre kolonisinin SSEA-l'e karşı bağışıklık tepkisi (x 200).
|
|||||||||||||||||||||||||||||
|
Giemsa ile boyanmış EK hücre kolonilerinin PET fiberleri arasındaki görüntüsü ( x 200).
|
|||||||||||||||||||||||||||||
![]() |
|||||||||||||||||||||||||||||
|
EK hücre kolonisinin LIF sabitlenmiş yüzeylerdeki elektron mikroskobik görüntüsü.
|
|||||||||||||||||||||||||||||
|
Giemsa ile boyanmış EK hücre kolonisinin PET fiberleri arasındaki görüntüsü ( x 400).
|
|||||||||||||||||||||||||||||
|
Ağustos 2005 59 BİLIM ve TEKNİK
|
|||||||||||||||||||||||||||||