Tuberkuloz


Tuberkuloz

Tuberkuloz

Tuberkuloz

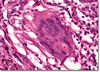
Verem.Mycobacterium tuberculosis tarafından oluşturulan hastalık.